庆大霉素及其相关产物在工业底盘细胞中的高效合成 |
| 吴亮亮, 常莹莹, 邓子新, 刘天罡 |
|
Efficient synthesis of gentamicin and its related products in industrial chassis cells |
| WU Liangliang, CHANG Yingying, DENG Zixin, LIU Tiangang |
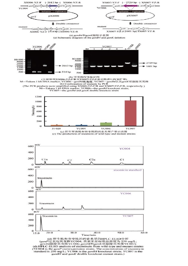
| 图5 genB4和genK敲除菌株构建及HPLC-ELSD分析 |
| Fig. 5 Construction and HPLC-ELSD analysis of genB4 and genK knockout strain |
|